![]() |
| 作品情報 | 使用上の注意など | |||
|---|---|---|---|---|
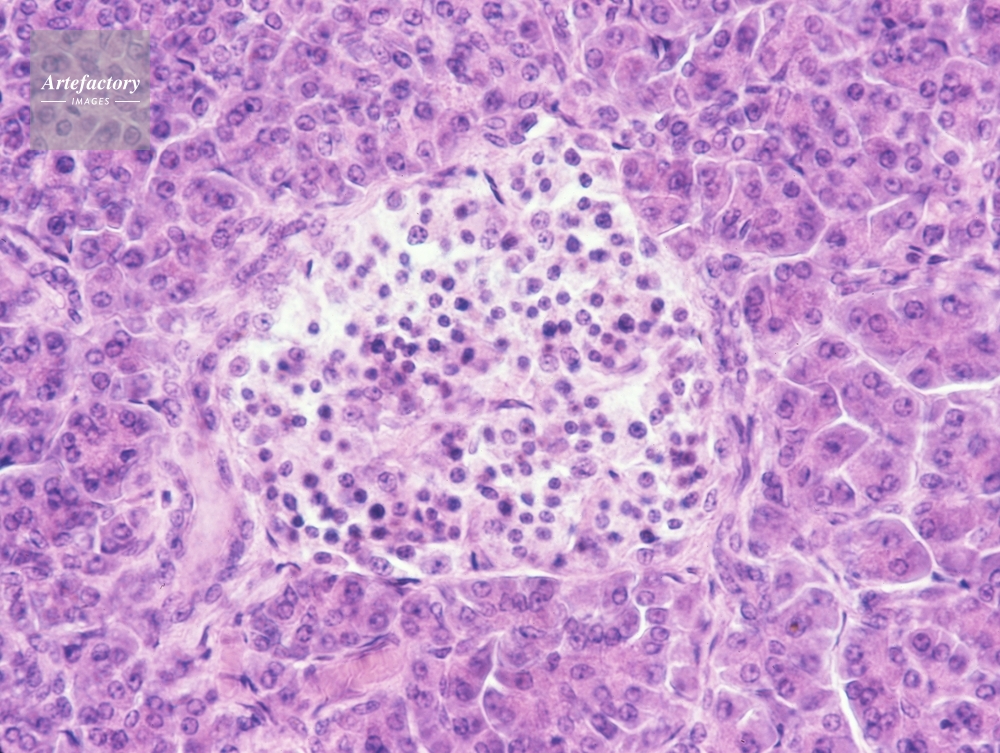
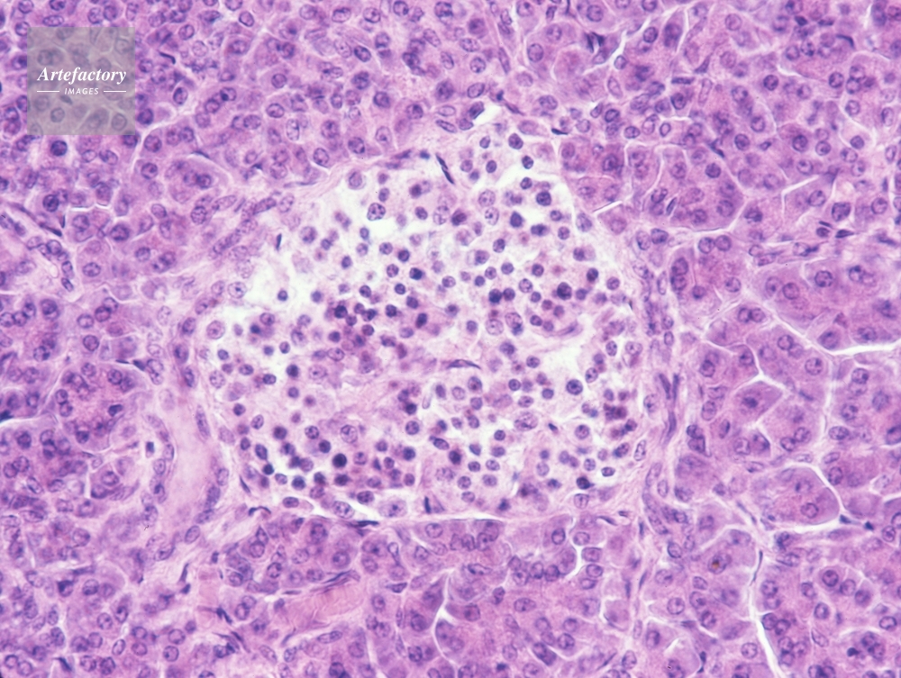
| 作品番号 | 27500590 | クレジット表記 | (c)youichi tamura / Artefactory | |
| 作品タイトル | ランゲルハンス氏島・人のすい臓 | モデルリリース | なし | |
| 作家 | 田村 洋一 | プロパティリリース | なし | |
| キャプション | 顕微鏡倍率×200 ヘマトキシリン・エオシン染色 | 制限事項 | ||
| コレクション | OPO | 注意事項 | 被写体やご利用方法によっては、事前に肖像権・商標権等に関する使用許可の取得が必要となる場合がございます。 | |
| ソース | ピクセル数 | 4134px × 3113px | ||
| 撮影地 | 印刷サイズ | 30cm × 22.6cm | ||
| 撮影年月日 | データサイズ | 8.2MByte | ||
| 学術名 | ファイル形式 | JPEG | ||
| キーワード | ||||