![]() |
| 作品情報 | 使用上の注意など | |||
|---|---|---|---|---|
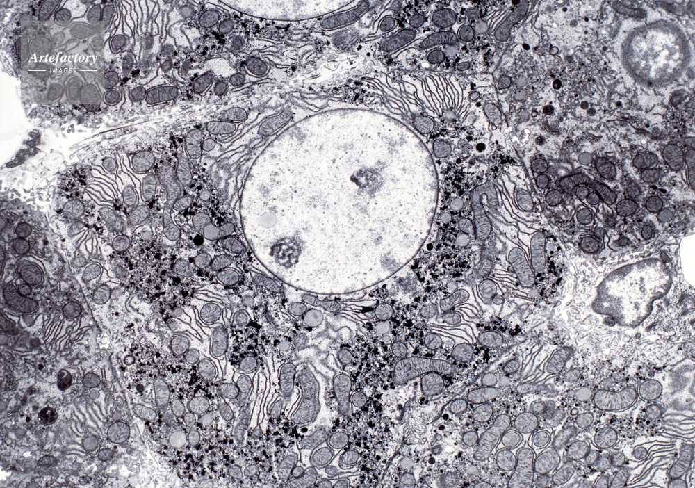
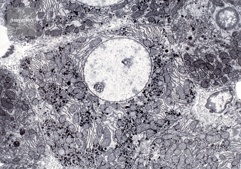
| 作品番号 | 11700150 | クレジット表記 | ||
| 作品タイトル | 肝細胞 ラット | モデルリリース | なし | |
| 作家 | 安達 一男 | プロパティリリース | なし | |
| キャプション | 電顕 倍率×1060 | 制限事項 | ||
| コレクション | 注意事項 | 別途、特別料金が発生いたします。 被写体やご利用方法によっては、事前に肖像権・商標権等に関する使用許可の取得が必要となる場合がございます。 |
||
| ソース | ピクセル数 | 500px × 351px | ||
| 撮影地 | 印刷サイズ | 29.6cm × 20.8cm | ||
| 撮影年月日 | データサイズ | 14.9MByte | ||
| 学術名 | ファイル形式 | JPEG | ||
| キーワード | ||||