![]()  | 
	
| 作品情報 | 使用上の注意など | |||
|---|---|---|---|---|
| 作品番号 | 03400042 | クレジット表記 | (c)OLYMPUS CORPORATION Technolab / Artefactory | |
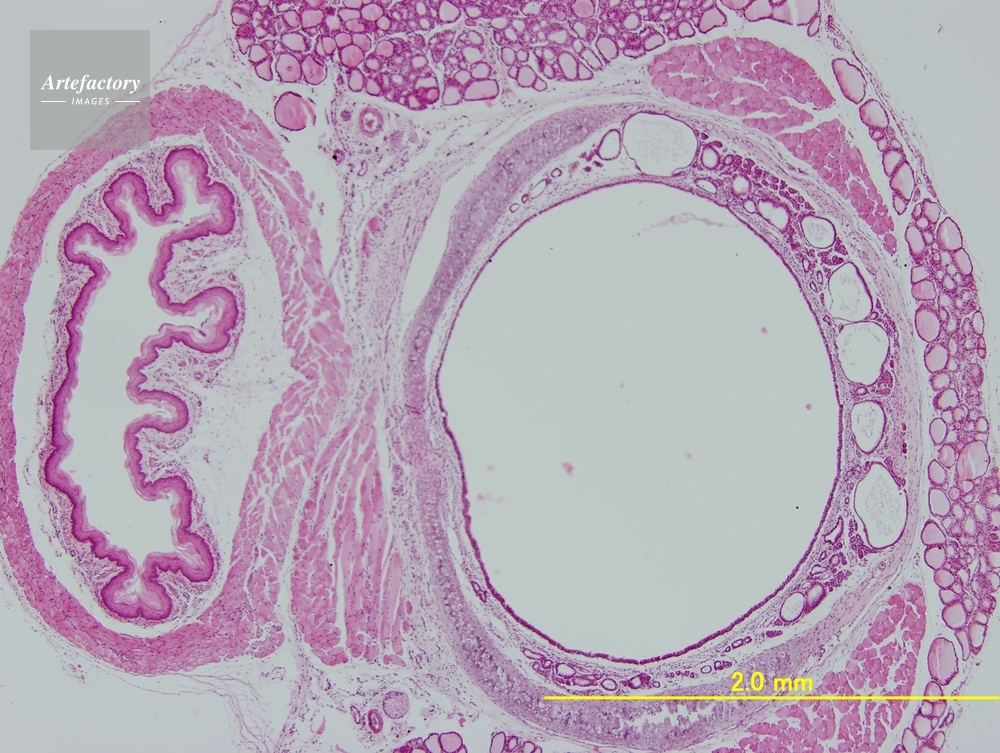
| 作品タイトル | ラット 気管、食道、甲状腺 | モデルリリース | なし | |
| 作家 | OLYMPUS CORPORATION Technolab | プロパティリリース | なし | |
| キャプション | 制限事項 | |||
| コレクション | 注意事項 | 被写体やご利用方法によっては、事前に肖像権・商標権等に関する使用許可の取得が必要となる場合がございます。 | ||
| ソース | ピクセル数 | 3455px × 2602px | ||
| 撮影地 | 印刷サイズ | 20.3cm × 15.3cm | ||
| 撮影年月日 | 2007/4/3 | データサイズ | 5.4MByte | |
| 学術名 | ファイル形式 | JPEG | ||
| キーワード | ||||